
Jaw Tumors & Cysts
Diagnosis · Surgery · Reconstruction


Dr. Hema Anukula
Oral Oncologist & Maxillofacial Surgeon
Trained in cancer surgery, jaw reconstruction, and conditions affecting the mouth, jaw and face.
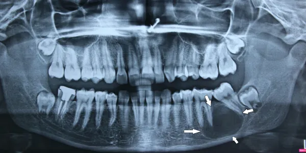
Jaw tumors and cysts include ameloblastoma, odontogenic keratocysts and dentigerous cysts. Most present as painless jaw swelling found on radiograph. Management ranges from enucleation for small cysts to segmental jaw resection with reconstruction plate for aggressive tumors.
Symptoms that warrant referral
Painless jaw swelling for months
Loosening of teeth without cause
Bony expansion of jaw on one side
Gum-area swelling
Incidental finding on dental X-ray
